🤔 MEDIUM
Welcome to another MedGuide quiz. This is part three of the Upper Limb Disorder series of presentations, focusing on the shoulder and brachial plexus clinical anatomy and imaging. Good luck!
Reviewed by: awaiting review
Approach to the Patient with Upper Limb Disorder - Part III
Congratulations - you have completed Approach to the Patient with Upper Limb Disorder - Part III.
You scored %%SCORE%% out of %%TOTAL%%.
Your performance has been rated as %%RATING%%
Your answers are highlighted below.
Question 1 |
A 55YO female presents to her GP with pain (6/10 subjective) on abduction of the glenohumeral joint. She denies constitutional signs, has normal vitals and physical examination is remarkable for reduced active abduction with external rotation maintained. History is notable for type-two diabetes mellitus and hyperthyroidism.
What is the best-matched differential?
Adhesive capsulitis
| |
Calcific tendonitis | |
Osteoarthritis
| |
Rheumatoid arthritis | |
Rotator cuff tear
|
Question 2 |
A 45YOF patient presents with 6 month of low-grade hot sensation throughout her body, arthralgia of the glenohumeral, wrist and knee joints bilaterally and no history of trauma. Physical exam is remarkable for decreased range of motion to the GHJ and persistent, worsening pain (5/10) in the left shoulder that is preventing her playing tennis.
Given the best matched differential, what is the first line therapy?
Aspirin
| |
Compression therapy
| |
Cyclophosphamide
| |
Methotrexate | |
Physiotherapy
|
Question 3 |
A patient is diagnosed with acromioclavicular joint arthritis.
Which is the most likely presentation of the patient?
Incidental finding on radiography
| |
Reduced abduction of the glenohumeral joint
| |
Reduced adduction of the glenohumeral joint
| |
Reduced circumduction of the glenohumeral joint
| |
Reduced inspiratory volume
|
Question 4 |
A geriatric patient presents thus after gardening and hearing a popping sound. Given the best matched diagnosis, what is the root value of the affected muscle’s innervation?
Select all which may apply.
C5 Hint: C | |
C6 | |
C7 | |
C8 | |
T1 |
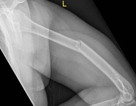
Question 5 |
Study the image below and answer the following question:
Which letter corresponds to the most common fracture site of this bone?
Which letter corresponds to the most common fracture site of this bone?
A
| |
B | |
C | |
D | |
E |
Question 6 |
Study the image below and answer the following question:
Which clinical sign is mostly likely given the lesion seen?
Which clinical sign is mostly likely given the lesion seen?
Atrophy of coracobrachialis
| |
Atrophy of extensor carpi radialis longus
| |
Atrophy of flexor digitorum profundus
| |
Loss of biceps and triceps reflexes
| |
Paraesthesia of the lateral forearm
|
Question 7 |
A congestive cardiac failure patient is resident on a ward. You are examining the patient and ask to listen to the posterior lung field. Which of the following does not border the triangle of auscultation for this purpose?
Deltoid | |
Latissimus dorsi
| |
Scapula lateral border
| |
Serratus anterior | |
Teres major
|
Question 8 |
Which of the following is true of a nerve derived from the posterior cord of the brachial plexus? Select all that may apply
Innervates pectoralis major
| |
Innervates serratus anterior
| |
Innervates shoulder external rotator
| |
Provides medial forearm sensation
| |
Runs in the spiral groove
|
Question 9 |
The lateral pectoral nerve
Innervates pectoralis major
| |
Innervates pectoralis minor | |
Innervates serratus anterior | |
Is a purely sensory nerve
| |
Is derived from the same cord as the medial pectoral nerve
|
Question 10 |
A patient falls from a stepladder and fractures their medial-most tip of the scapula avulsing the muscle that attaches here.
The nerve supplying this muscle supplies which of the following?
Latissimus dorsi
| |
Levator scapula
| |
Rhomboid major
| |
Rhomboid minor | |
Supraspinatus |
Once you are finished, click the button below. Any items you have not completed will be marked incorrect.
There are 10 questions to complete.
References:
- Knipe, H. (2020). Midshaft humerus fracture. Available: https://radiopaedia.org/cases/midshaft-humerus-fracture?lang=gb. Last accessed August 2020.
- Macleod, J., 2018. Macleod’s clinical examination. Elsevier Health Sciences.
- Moore, K.L. and Dalley, A.F., 2018. Clinically oriented anatomy. Wolters kluwer india Pvt Ltd.
- NICE guideline [NG100]. (2018). Rheumatoid arthritis in adults: management. Available: https://www.nice.org.uk/guidance/ng100. Last accessed August 2020.
- Vandyke-Carter, H et al. (1918). Anatomy of the Human Body. Available: https://www.bartleby.com/107/. Last accessed August 2020.
- Williams, N.S., O’Connell, P.R. and McCaskie, A. eds., 2018. Bailey & Love’s Short Practice of Surgery: The Collector’s edition. CRC press.
- Winstanley, J., 2008. Churchill’s Pocketbook of Surgery (3rd edn).

